
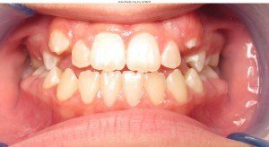
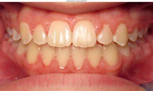
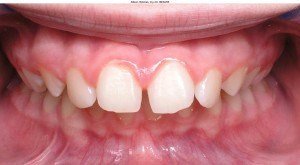
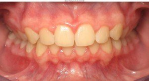
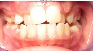
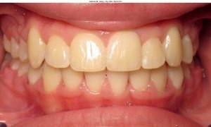
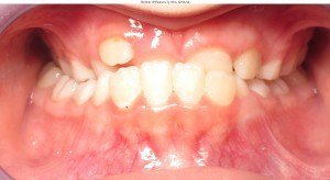
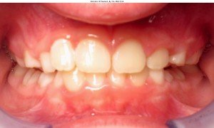
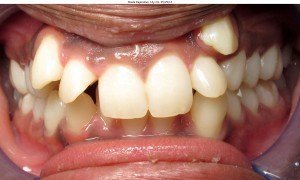
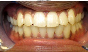
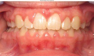
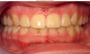
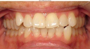
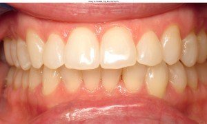
The Smiles Say It All
At Hickman Orthodontics, Dr. Eric Hickman and Dr. Sarah Hickman create confident, healthy smiles for patients of all ages.
Take a look at some real results from real people across Liberty Township, Maineville, and the surrounding area. Whether you're considering braces or Invisalign, your best smile could be next.















